Over the past few months, our vet team gave them the strength and skills they needed to return to the wild.
Rescued – Wild Asian Barred Owlet
(Scroll down for English)
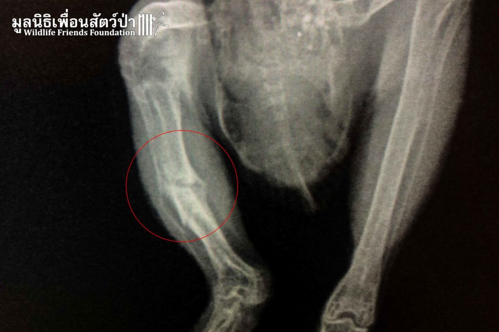
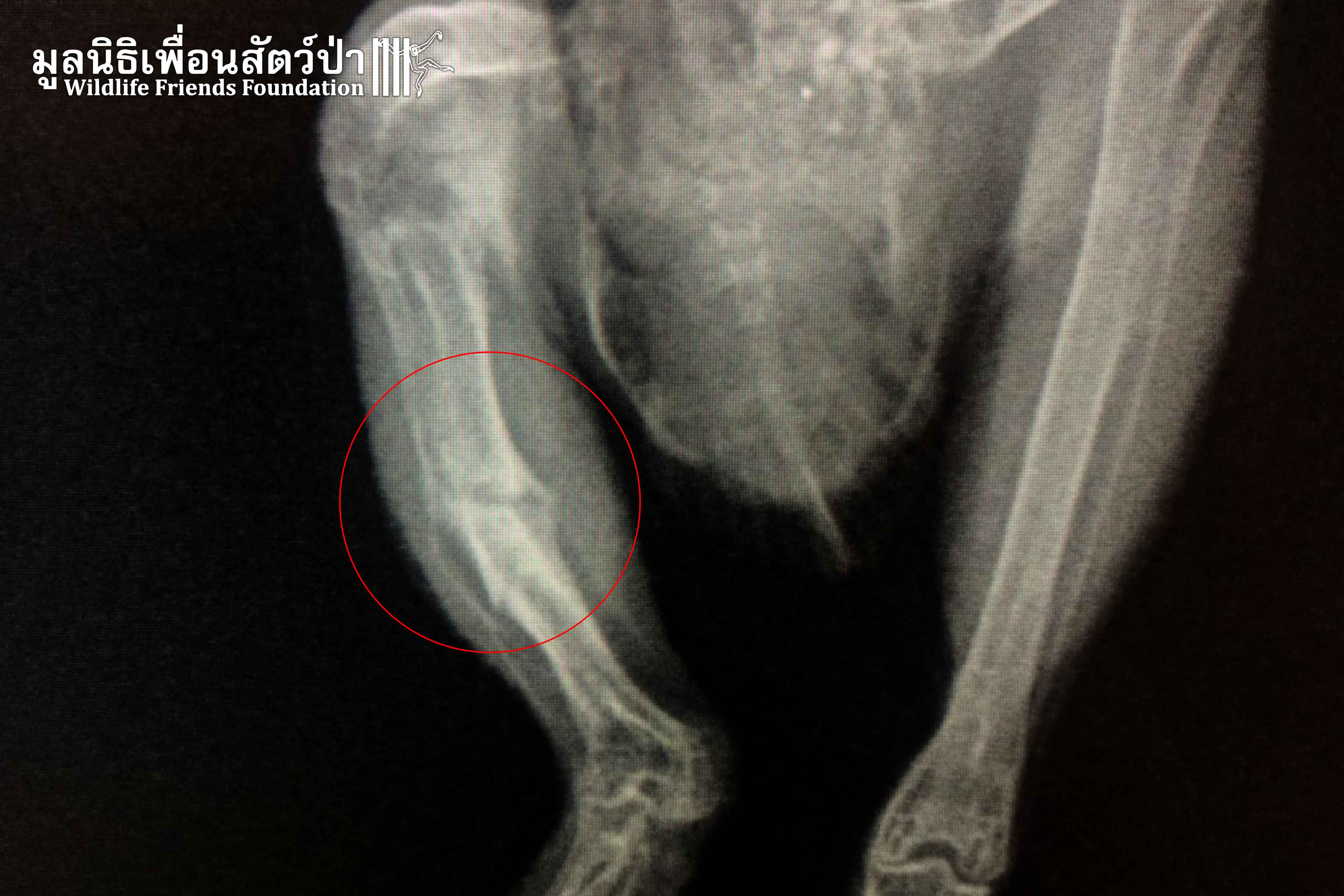
“ เฮ็ดวิก “ นกเค้าเเมว (Asian Barred Owlet) เกิดอุบัติเหตุรถชนกลางดึก ถูกทิ้งอยู่บนกลางถนน เเต่โชคยังเข้าข้างเมื่อมีพลเมืองดีมาช่วยไว้เเละได้ส่งต่อมูลนิธิเพื่อนสัตว์ป่าเพื่อเข้ารับการรักษา ผลตรวจ X-ray เเสดงให้เห็นว่ากระดูกหักที่ขาขวาซึ่งไม่ร้ายเเรง เฮ็ดวิก จะได้รับการดูเเลอย่างใกล้ชิดจากทีมสัตวเเพทย์จนกว่ากระดูกจะสมานกันจึงจะสามารถปล่อยคืนสู่ป่าได้
นกเค้าเเมวเป็นนกขนาดเล็กที่สามารถปรับตัวได้อย่างยอดเยี่ยมดังนั้นสามารถพบเจอได้ทุกสภาพแวดล้อมไม่ว่าจะเป็นป่าทึบหรือสวนสาธารณะในเมืองใหญ่ กินสัตว์ขนาดเล็กกว่าเป็นอาหาร มาติดตามกันนะครับว่าเฮ็ดวิคจะเป็นยังไงต่อไป
คุณสามารถสนับสนุนเราได้โดยการ
เยี่ยมชม > อาสาสมัคร > บริจาค
www.wfft.org
“Hedwig” an Asian barred owlet (Taenioglaux cuculoides) was found by the side of a busy road after being hit by a car. Luckily a concerned local found it and contacted WFFT for help. An X-ray examination showed a bone fracture on the right leg, which is not so severe so this has a good chance of healing. Hedwig will receive round the clock care from our vet team until the bone healed before it can be released.
The Asian Barred Owlet is a small owl that can live in many different habitats, whether it is tropical evergreen jungle or parks in big cities. They mostly eat small animals such as beetles, lizards, and little birds. We will keep you posted about its condition.
Help Us Help More
Visit > Volunteer > Donate
www.wfft.org










